Chinese Journal of Applied Chemistry ›› 2025, Vol. 42 ›› Issue (8): 1105-1114.DOI: 10.19894/j.issn.1000-0518.250026
• Full Papers • Previous Articles Next Articles
Zi-Xin XING1, Xiu-Lan MA1, Zhe-Peng LIU2, Peng-Kun FU1, Hui-Qiao SONG1, Yi-Jin YANG1, Li-Rong NIE1(
)
Received:2025-01-24
Accepted:2025-05-27
Published:2025-08-01
Online:2025-08-11
Contact:
Li-Rong NIE
About author:l.r.nie@usst.edu.cnSupported by:CLC Number:
Zi-Xin XING, Xiu-Lan MA, Zhe-Peng LIU, Peng-Kun FU, Hui-Qiao SONG, Yi-Jin YANG, Li-Rong NIE. Preparation and Quality Evaluation of Bupivacaine Microemulsion Gel[J]. Chinese Journal of Applied Chemistry, 2025, 42(8): 1105-1114.
Add to citation manager EndNote|Ris|BibTeX
URL: http://yyhx.ciac.jl.cn/EN/10.19894/j.issn.1000-0518.250026
| Allergic reactions from stimuli | Score | |
|---|---|---|
| Erythema | No erythema | 0 |
| Barely visible erythema (mild) | 1 | |
| Visible erythema (moderate) | 2 | |
| Clearly visible large erythema (severe) | 3 | |
| Purple-red erythema with some degree of scab formation | 4 | |
| Edema | No edema | 0 |
| Barely visible edema (mild) | 1 | |
| Visible edema (moderate) | 2 | |
| Visible edema with a bulge of about 1 mm (severe) | 3 | |
| Severe edema with a bulge greater than 1 mm | 4 | |
| Cumulative maximum score | 8 |
Table 1 Skin irritation scoring criteria
| Allergic reactions from stimuli | Score | |
|---|---|---|
| Erythema | No erythema | 0 |
| Barely visible erythema (mild) | 1 | |
| Visible erythema (moderate) | 2 | |
| Clearly visible large erythema (severe) | 3 | |
| Purple-red erythema with some degree of scab formation | 4 | |
| Edema | No edema | 0 |
| Barely visible edema (mild) | 1 | |
| Visible edema (moderate) | 2 | |
| Visible edema with a bulge of about 1 mm (severe) | 3 | |
| Severe edema with a bulge greater than 1 mm | 4 | |
| Cumulative maximum score | 8 |
| Score | Irritation evaluation indicators |
|---|---|
| 0~0.49 | Non-irritating |
| 0.50~2.99 | Mildly irritating |
| 3.00~5.99 | Moderately irritating |
| 6.00~8.00 | Severely irritating |
Table 2 Criteria for judging the intensity of skin irritation
| Score | Irritation evaluation indicators |
|---|---|
| 0~0.49 | Non-irritating |
| 0.50~2.99 | Mildly irritating |
| 3.00~5.99 | Moderately irritating |
| 6.00~8.00 | Severely irritating |
Fig.1 (A) Solubility of bupivacaine in different oil phases (Ⅰ.oleic acid; Ⅱ.isopropyl myristate; Ⅲ.medicated soybean oil; Ⅳ.oleic acid-isopropyl myristate (1∶1); Ⅴ.isopropyl myristate-medicated soybean oil (1∶1); Ⅵ.oleic acid-medicated soybean oil (1∶1)); (B) Particle size of blank microemulsions with different ratios
| w/% | R2 | JS/(μg·cm-2·h-1) |
|---|---|---|
| 0.4 | 0.999 3 | 295.87 |
| 0.6 | 0.999 1 | 279.46 |
| 0.8 | 0.998 8 | 265.28 |
Table 3 Effect of different HPMC dosages on permeability
| w/% | R2 | JS/(μg·cm-2·h-1) |
|---|---|---|
| 0.4 | 0.999 3 | 295.87 |
| 0.6 | 0.999 1 | 279.46 |
| 0.8 | 0.998 8 | 265.28 |
| Conditions | Time/d | w/% | Viscosity/(Pa·s) | pH |
|---|---|---|---|---|
| 65 ℃ | 0 | 100 | 8.36±0.35 | 7.42 |
| 5 | 101.23 | 8.41±0.17 | 7.41 | |
| 10 | 101.69 | 8.39±0.24 | 7.38 | |
| 4500 Lx | 0 | 100 | 8.47±0.21 | 7.48 |
| 5 | 100.89 | 8.36±0.19 | 7.47 | |
| 10 | 101.45 | 8.42±0.32 | 7.44 |
Table 4 Stability of BUP-ME-GEL
| Conditions | Time/d | w/% | Viscosity/(Pa·s) | pH |
|---|---|---|---|---|
| 65 ℃ | 0 | 100 | 8.36±0.35 | 7.42 |
| 5 | 101.23 | 8.41±0.17 | 7.41 | |
| 10 | 101.69 | 8.39±0.24 | 7.38 | |
| 4500 Lx | 0 | 100 | 8.47±0.21 | 7.48 |
| 5 | 100.89 | 8.36±0.19 | 7.47 | |
| 10 | 101.45 | 8.42±0.32 | 7.44 |
| Bupivacaine preparations | R2 | JS/(μg·cm-2·h-1) |
|---|---|---|
| Bupivacaine | 0.997 6 | 41.07 |
| BUP-ME | 0.998 9 | 481.23 |
| BUP-ME-GEL | 0.999 3 | 295.87 |
Table 5 Results of transdermal absorption of different bupivacaine preparations in vitro
| Bupivacaine preparations | R2 | JS/(μg·cm-2·h-1) |
|---|---|---|
| Bupivacaine | 0.997 6 | 41.07 |
| BUP-ME | 0.998 9 | 481.23 |
| BUP-ME-GEL | 0.999 3 | 295.87 |
Fig.7 (A) Effects of different groups on tail flick test in mice (within 4 h); (B) Increase rate of pain threshold in mice treated with different preparation groups
| 1 h | 12 h | 24 h | 48 h | 72 h | |
|---|---|---|---|---|---|
| Saline | 0/0/0/0 | 0/0/0/0 | 0/0/0/0 | 0/0/0/0 | 0/0/0/0 |
| Blank preparation | 0/0/0/0 | 0/0/0/0 | 0/0/0/0 | 0/0/0/0 | 0/0/0/0 |
| BUP-ME-GEL | 0/0/0/0 | 0/0/0/0 | 0/0/0/0 | 0/0/0/0 | 0/0/1/0 |
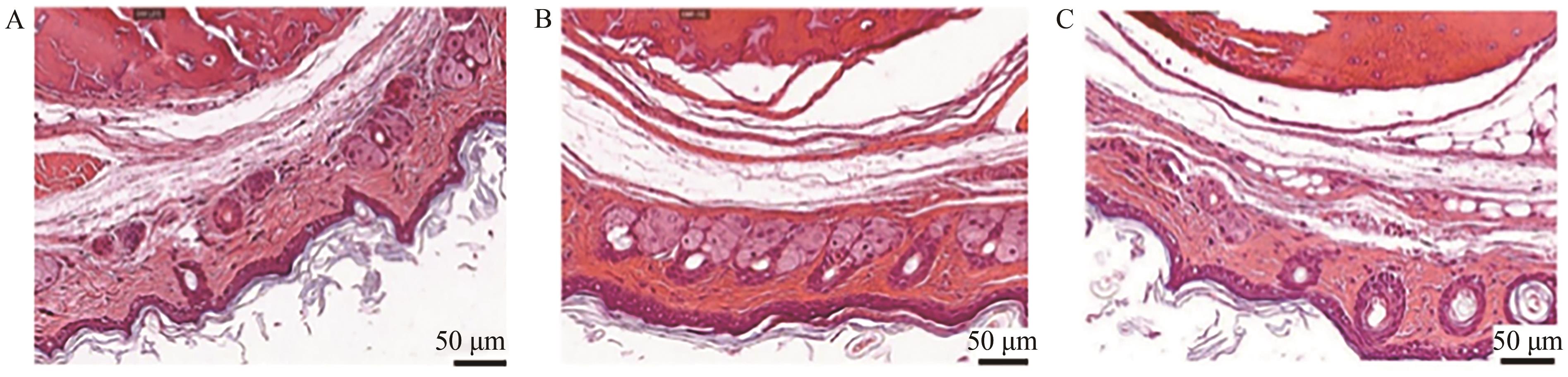
Table 6 Skin irritation scale (erythema) for different subjects
| 1 h | 12 h | 24 h | 48 h | 72 h | |
|---|---|---|---|---|---|
| Saline | 0/0/0/0 | 0/0/0/0 | 0/0/0/0 | 0/0/0/0 | 0/0/0/0 |
| Blank preparation | 0/0/0/0 | 0/0/0/0 | 0/0/0/0 | 0/0/0/0 | 0/0/0/0 |
| BUP-ME-GEL | 0/0/0/0 | 0/0/0/0 | 0/0/0/0 | 0/0/0/0 | 0/0/1/0 |
| 1 h | 12 h | 24 h | 48 h | 72 h | |
|---|---|---|---|---|---|
| Saline | 0/0/0/0 | 0/0/0/0 | 0/0/0/0 | 0/0/0/0 | 0/0/0/0 |
| Blank preparation | 0/0/0/0 | 0/0/0/0 | 0/0/0/0 | 0/0/0/0 | 0/0/0/0 |
| BUP-ME-GEL | 0/0/0/0 | 0/0/0/0 | 0/0/0/0 | 0/0/0/0 | 0/0/0/0 |
Table 7 Skin irritation rating scale (edema) for different subjects
| 1 h | 12 h | 24 h | 48 h | 72 h | |
|---|---|---|---|---|---|
| Saline | 0/0/0/0 | 0/0/0/0 | 0/0/0/0 | 0/0/0/0 | 0/0/0/0 |
| Blank preparation | 0/0/0/0 | 0/0/0/0 | 0/0/0/0 | 0/0/0/0 | 0/0/0/0 |
| BUP-ME-GEL | 0/0/0/0 | 0/0/0/0 | 0/0/0/0 | 0/0/0/0 | 0/0/0/0 |
| Saline | Blank preparation | BUP-ME-GEL | |
|---|---|---|---|
| Score | 0 | 0 | 0.25 |
| Stimulus intensity | Non-irritating | Non-irritating | Non-irritating |
Table 8 Skin irritation evaluation results for different subjects
| Saline | Blank preparation | BUP-ME-GEL | |
|---|---|---|---|
| Score | 0 | 0 | 0.25 |
| Stimulus intensity | Non-irritating | Non-irritating | Non-irritating |
| [1] | KAHVECI M, ABUT F Y Ç, ERDEM G. Impact of ultrasonography-guided transversus abdominis plane block and local anesthetic infiltration in the surgical field on postoperative analgesic requirements for laparoscopic cholecystectomy procedures[J]. Istanbul Med J, 2024, 25(4): 269-273. |
| [2] | ILFELD B M, SESSLER D I. Liposomal bupivacaine in peripheral nerve blocks: duration and meaningful differences[J]. Anesthesiology, 2024, 141(4): 638-642. |
| [3] | KULKARNI S S, TAYADE D N, KANE P P, et al. Major complications following central neuraxial block-a multi-centre observational study in Maharashtra (MGMM CNB study)[J]. Indian J Anaesth, 2023, 67(Suppl 1): S15-S28. |
| [4] | WENTAO D, YU Y, PEIPEI Z, et al. Synthesis of nanocapsules blended polymeric hydrogel loaded with bupivacaine drug delivery system for local anesthetics and pain management[J]. Drug Deliv, 2022, 29(1): 399-412. |
| [5] | 马秀兰, 韩佳琦, 刘哲鹏. 局部麻醉药经皮给药的研究进展[J]. 实用药物与临床, 2022, 25(6): 557-562. |
| MA X L, HAN J Q, LIU Z P. Research progress in transdermal administration of local anesthetics[J]. Pract Pharm Clin Rem, 2022, 25(6): 557-562 | |
| [6] | WU C A, KEPP O, KROEMER G, et al. Direct cytotoxic and indirect, immune-mediated effects of local anesthetics against cancer[J]. Front Oncol, 2022, 11: 821785. |
| [7] | 曾慧琳, 邓艾平, 王奕, 等. 布比卡因长效制剂的研究进展[J]. 中南药学, 2016, 14(12): 1342-1346. |
| ZENG H L, DENG A P, WANG Y, et al. Research progress in the long-acting formulations of bupivacaine[J]. Cent South Pharm, 2016, 14(12): 1342-1346. | |
| [8] | 张黄丽, 殷昌生, 贾晓姝, 等. 布比卡因脂质体术后镇痛应用进展[J]. 武警医学, 2023, 34(6): 530-534. |
| ZHANG H L, YIN C S, JIA X S, et al. Progress in postoperative analgesia with bupivacaine liposome[J]. Med J Chin People's Armed Police Forces, 2023, 34(6): 530-534. | |
| [9] | ZHANG W, WU M, SHEN C, et al. A new long-acting analgesic formulation for postoperative pain management[J]. Int J Pharm, 2024, 664: 124599. |
| [10] | SUN M, OSIPITAN O O, SULICZ E, et al. Preparation and optimization of an ultraflexible liposomal gel for lidocaine transdermal delivery[J]. Materials, 2022, 15(14): 4895. |
| [11] | JI M, LIU G, CUI Y, et al. Safety and efficacy concerns of modern strategies of local anesthetics delivery[J]. Biotech, 2020, 10(8): 333. |
| [12] | TOBE M, SUTO T, SAITO S. The history and progress of local anesthesia: multiple approaches to elongate the action[J]. J Anesth, 2018, 32(4): 632-636. |
| [13] | LI J, ZENG M, SHAN H, et al. Microneedle patches as drug and vaccine delivery platform[J]. Curr Med Chem, 2017, 24(22): 2413-2422. |
| [14] | VIRANI A, PURI V, MOHD H, et al. Effect of penetration enhancers on transdermal delivery of oxcarbazepine, an antiepileptic drug using microemulsions[J]. Pharmaceutics, 2023, 15(1): 183. |
| [15] | GU Y, TANG X, YANG M, et al. Transdermal drug delivery of triptolide-loaded nanostructured lipid carriers: preparation, pharmacokinetic, and evaluation for rheumatoid arthritis[J]. Int J Pharm, 2019, 554: 235-244. |
| [16] | 刘丰硕, 董茜, 赵忠夫, 等. 自黏性经皮给药SIS/C5静电纺丝膜的结构及性能调控[J]. 应用化学, 2022, 39(10): 1523-1532. |
| LIU F S, DONG X, ZHAO Z F, et al. Structure and performance modulation of self-adhesive SIS/C5 electrospun membranes for transdermal drug delivery[J]. Chin J Appl Chem, 2022, 39(10): 1523-1532. | |
| [17] | RAO J, MCCLEMENTS D J. Formation of flavor oil microemulsions, nanoemulsions and emulsions: influence of composition and preparation method[J]. J Agric Food Chem, 2011, 59(9): 5026-5035. |
| [18] | OSKOUEI S S, ARAMAN A O, ERGINER Y O, et al. Preparation, optimization, and in vitro drug release study of microemulsions of posaconazole[J]. J Drug Deliv Sci Technol, 2023, 79: 104090. |
| [19] | 刘明钰, 代婧伟. 水凝胶:探索医疗未来的创新材料[J]. 应用化学, 2024, 41(10): 1511-1518. |
| LIU M Y, DAI J W. Hydrogels: exploring innovative materials for the future of medicine[J]. Chin J Appl Chem, 2024, 41(10): 1511-1518. | |
| [20] | NIU J, YUAN M, GAO P, et al. Microemulsion-based keratin-chitosan gel for improvement of skin permeation/retention and activity of curcumin[J]. Gels, 2023, 9(7): 587. |
| [21] | 丁杨, 钱珊珊, 郭健, 等. 基于双位点同步微透析技术的青藤碱微乳凝胶皮肤及血液药代动力学研究[J]. 南京中医药大学学报, 2022, 38(11): 1050-1055. |
| DING Y, QIAN S S, GUO J, et al. Pharmacokinetic study of skin and blood of sinomenine-loaded microemulsion gel based on double sites simultaneous microdialysis[J]. J Nanjing Univ Tradit Chin Med, 2022, 38(11): 1050-1055. | |
| [22] | BACHU R D, STEPANSKI M, ALZHRANI R M, et al. Development and evaluation of a novel microemulsion of dexamethasone and tobramycin for topical ocular administration[J]. J Ocul Pharm Ther, 2018, 34(4): 312-324. |
| [23] | FURQAN A M, LAKSHMI V P, KAJAL P P, et al. Lidocaine tripotassium phosphate complex laden microemulsion for prolonged local anaesthesia: in vitro and in vivo studies[J]. Colloids Surf B: Biointerfaces, 2020, 185: 110632. |
| [24] | LIXIA L, MENGXUE H, CHUNLIN F, et al. Preparation, characterization, ex vivo transdermal properties and skin irritation evaluation of 1,8-cineole nanoemulsion gel[J]. Int J Pharm, 2022, 624: 121982. |
| [25] | 何芮, 王晓娜, 王歆悦, 等. 钙离子通道阻滞剂自乳化给药系统的形成机理[J]. 高等学校化学学报, 2015, 36(1): 131-141. |
| HE R, WANG X N, WANG X Y, et al. Insight into the formation mechanisms behind self-emulsifying drug delivery systems of calcium channel blockers[J]. Chem J Chin Univ, 2015, 36(1): 131-141. |
| [1] | Ye-Chen WANG, Zhi-Dong QIU, Yan-Xu ZHANG, Li-Ying WANG, Mao-Xu WANG, Xue-Lian DONG. Research on Quality Evaluation of Yiyi-Zhuye Powders Based on Fingerprint, Quality Value Transfer and Chemometrics [J]. Chinese Journal of Applied Chemistry, 2024, 41(3): 422-436. |
| [2] | Ying-Xin GAO, Wei XU, Yan-Xu ZHANG, Ye-Chen WANG, Xue-Lian DONG. Evaluation of the Quality of Coptidis Rhizoma from Different Origins by the Combination of Grey Relational Analysis and Chromaticity Method [J]. Chinese Journal of Applied Chemistry, 2022, 39(6): 1000-1010. |
| Viewed | ||||||
|
Full text |
|
|||||
|
Abstract |
|
|||||