Loading [MathJax]/jax/output/HTML-CSS/jax.js
有序大孔二氧化硅孔壁聚合物功能化修饰及葡萄糖淀粉酶固载化
叶丽芳, 邬泉周*
广州中医药大学中药学院 广州 510006
通讯联系人:邬泉周,副教授; Tel:020-39358077; E-mail:gzywqz@gzucm.edu.cn; 研究方向:多孔吸附分离材料、色谱填料以及酶固载化研究
摘要

以丙烯酸为功能单体,甘油1,3-二甘油醇酸二丙烯酸酯作为交联剂,在孔内通过自由基引发聚合,成功地制备了在孔壁表面聚合物修饰的三维有序大孔氧化硅/聚合物复合材料(3DOM SiO2-COOH)。 通过拉曼光谱、扫描电子显微镜(SEM)、BET比表面测试和片剂硬度计技术手段表征了材料孔结构特征和机械强度。 结果表明,3DOM SiO2-COOH具有均匀的相互连接的大孔结构,孔壁表面形成了一层致密的11~32 nm厚度的聚合物膜,且具有较高的机械强度高。 以3DOM SiO2-COOH材料为载体,葡萄糖淀粉酶在其内固载能均匀地分布在材料内部。 固载酶和游离酶的最佳反应pH均为5,最佳反应温度为55 ℃,米氏常数分别为3.78和3.97 g/L。 固载酶具有更高的热稳定性、pH值稳定性、储藏稳定性和重复使用稳定性。 3DOM SiO2-COOH材料可作为一种新型的固载酶载体。

关键词: 有序大孔; 表面改性; 复合材料; 固载酶
中图分类号:O643.3;O647.1 文献标志码:A 文章编号:1000-0518(2018)11-1309-08
Modification of Ordered Macroporous Silica by a Functional Polymer Layer and Immobilization of Glucoamylase on the Macropore Walls
YE Lifang, WU Quanzhou
School of Pharmaceutical Sciences,Guangzhou University of Chinese Medicine,Guangzhou 510006,China
Corresponding author:WU Quanzhou, associate professor; Tel:020-39358077; E-mail:gzywqz@gzucm.edu.cn; Research interests:porous separation materials, chromatography packing and immobilization of enzymes
Abstract

This paper presented a facile method to the modification of the three-dimensionally ordered macroporous(3DOM) SiO2 hybrids with a carboxyl functionalized polymer layer on the macropore walls. Acrylic acid and glycerol 1,3-diglycerolate diacrylate were copolymerized to form the polymer layer in the macropores. Raman spectra, scanning electron microscopy(SEM) and BET measurements show that the prepared 3DOM SiO2@polymer composites(SiO2-COOH) have an uniform interconnected macroporous structure and the macropore walls are covered by a nanoscaled compact polymer layer. Moreover, the 3DOM SiO2-COOH has an improved mechanical strength. The 3DOM SiO2-COOH was further used as the support to immobilize glucoamylase. The results show that the immobilized enzyme homogeneously distributes in the 3DOM materials. The optimum pH of immobilized and free enzymes is both at 5, and the optimal reaction temperature is at 55 ℃. Michaelis constants of the immobilized enzyme and free enzyme are 3.78 g/L and 3.97 g/L, respectively. The immobilized enzyme presents higher thermal, pH, storage stabilities and higher reusability compared with the free enzyme. The results indicate that 3DOM SiO2-COOH could be a novel support for the immobilization of enzymes.

Keyword: ordered macropore; surface modification; composite; immobilized enzyme

酶是一类具有高选择性的高效催化剂,在食品和制药工业有着广泛的应用。 但游离酶存在稳定性及重复使用性差、分离纯化困难造成产品污染等缺点[1]。 固载化酶能克服游离酶的这些缺点,因而受到人们的普遍重视。 目前,用于固载酶的载体有合成树脂[2]、介孔二氧化硅[3]、锆石[4]和纳米颗粒[5]等,这些载体各有优缺点。 其中,多孔载体由于其高孔隙率和高表面积而被广泛用于固载酶。 然而,由于酶是大分子,如果孔径太小,则酶只能固载在多孔载体的外表面上[6,7]。 即使对于具有较大孔径的介孔材料,孔被酶及有机基团等堵塞的现象仍然是不可避免的[8]

通过胶晶模板法制备的三维有序大孔(3DOM)材料具有潜在的结构优点,它具有有序的大孔孔道(>50 nm)、高孔隙率和高比表面积。 因此,它能提供较佳的传质性能,适用于生物大分子物质的吸附及催化过程。 胶晶模板法一般包括4个步骤:1)将单分散微球组装成胶晶模板;2)在胶晶模板间隙内填充前驱物溶液;3)通过干燥或化学反应使前驱物转变成目标产物;4)去除模板得到3DOM材料。 由于采用硬质大孔致孔剂,大孔骨架产生于胶晶模板的孔隙内,孔道结构的形成可控性强。 另外,在制备过程中可直接引入各种官能基团,或者在3DOM材料孔表面嫁接引入官能基团,使得3DOM材料孔表面物理化学性质可调变性非常强。 至今,人们已制备了不同种类的3DOM材料,如有无机材料,聚合物和二氧化硅等。 3DOM材料在光子晶体[9]、电极材料[10]、催化[11]等领域已引起了人们广泛的兴趣。 近年来,它还被认为是一种理想的酶固载化载体,已报道了一些有意义的研究结果[12,13,14]。 但是,到目前为止,制备的3DOM材料仍然存在一个基本缺点:机械强度较差。 3DOM聚合物通常较软,尤其是亲水性大孔聚合物,具有凝胶性质。 3DOM无机材料或二氧化硅杂化物易碎。 因此,制备具有高机械强度的功能化3DOM材料以满足实际应用仍然是一个巨大的挑战。

本课题组曾制备了具有大尺度三维有序大孔结构的巯基功能化氧化硅杂化材料(3DOM SiO2-SH)[15]。 巯基是一种具有高反应活性的功能基团,它可以经自由基机理通过迈克尔加成反应与烯基发生反应。 因此,“巯基-烯烃”点击反应被广泛应用于化学结构修饰[16]。 在自由基引发条件下,巯基还可以引发烯烃聚合,在材料表面生产一层聚合物[17,18]。 该方法可以通过选用合适的功能单体将各种官能团植入到聚合物网络中。 此外,无机@聚合物复合材料也可有效改善材料机械强度。 作为重要的酶之一,葡萄糖淀粉酶( α-1,4和 α-1,6糖苷键)被广泛应用于食品、制药和纺织行业[19]。 现在仍然需要开发用于固定葡萄糖淀粉酶的新颖、方便的方法[20]。 因为酶和反应底物淀粉都是生物大分子,有序的大孔结构可以为大分子提供较佳的传质过程。 因此,3DOM材料可作为固载葡萄糖淀粉酶的一种良好载体。 在本研究中,我们介绍了一种制备羧基官能化3DOM SiO2@聚合物复合材料的简便方法,这种材料进一步被用作固载葡萄糖淀粉酶的新型载体。

1 实验部分
1.1 仪器和试剂

SHA-2型恒温振荡器(江苏常州澳华公司);UV1000型紫外-可见分光光度计(UV-Vis,上海天美公司);Quanta 400型热场发射扫描电子显微镜(SEM,英国Oxford公司);Micromertics ASAP 2020型吸附仪(美国Micromertics公司);HJY LabRAM Aramis 型拉曼光谱仪(日本Horiba公司);EQUINOX 55型FTIR红外光谱仪(德国Bruker公司);RZY-1型热重分析仪(TGA,上海精密科技仪器公司);YPJ-200A型片剂硬度计(上海黄海制药有限公司);BX53型荧光显微镜(日本OLYMPUS公司);PHS-3E型pH计(上海雷磁公司)。

苯乙烯、正硅酸乙酯(TEOS)、丙烯酸(AA)、丙酮、四氢呋喃(THF)购自天津大茂试剂厂;3-巯基丙基三乙氧基硅烷(MPTMS)购自北京百灵威科技有限公司;甘油1,3-二甘油醇酸二丙烯酸酯(GDD)购自SIGAMA-ALORICH贸易有限公司(上海);淀粉购自上海Alfa Aesar化工有限公司; N-(3-二甲基氨丙基)- N-乙基碳二亚胺盐酸盐(EDC)、 N-羟基琥珀酰亚胺(NHS)、葡糖糖淀粉酶(GLA)、葡萄糖氧化酶(GOD)、过氧化物酶(POD)、邻联二茴香胺(DEB)和异硫氰酸荧光素(异构体Ⅰ,FITC)购自上海阿拉丁生物科技有限公司。 以上均为分析纯试剂。

1.2 羧基官能化3DOM SiO2@聚合物复合材料制备

3DOM巯基功能化二氧化硅杂化物(3DOM SiO2-SH)根据文献[15]制备。 聚苯乙烯(PS)胶晶模板由粒径约为530 nm的单分散PS微球通过自然沉降自组装得到。 然后,PS模板再经110 ℃烧结5 min以增强PS微球之间的粘接。 3DOM SiO2-SH材料的前驱物溶液按照 n(TEOS)∶ n(MPTMS)∶ n(水)∶ n(盐酸)∶ n(乙醇)=2∶1∶5∶1∶18配制而成,再经加热回流2 h。 接着将前驱液滴加到PS模板上,使其充分渗透进入PS微球间隙内。 然后,于65 ℃下干燥1~2 h。 重复填充4次。 最后,用 V(四氢呋喃)∶ V(丙酮)=1∶1的混合溶剂溶解去除PS模板。 干燥后,将得到的3DOM SiO2-SH材料浸入由 n(GDD)∶ n(AA)∶ n(AIBN)∶ n(乙醇)=1∶1∶0.035∶18组成的聚合物前驱物溶液中。 待其完全充满大孔后,过滤去除多余前驱物溶液,并用乙醇快速洗涤3DOM SiO2-SH材料表面。 随后,在N2气气氛下,于65 ℃反应6 h得到3DOM SiO2@聚合物的复合材料(3DOM SiO2-COOH)。 最后将所得的3DOM SiO2-COOH材料研磨,并用不锈钢网筛筛选125~200 μm粒子,储存于干燥器中以供进一步使用。

1.3 葡萄糖淀粉酶固载

3DOM SiO2-COOH材料先用含10 g/L EDC和20 g/L NHS的磷酸盐缓冲液(PBS,50 mmol/L,pH=6.5)活化。 用PBS洗涤3次后,再将其浸入GLA溶液(8 g/L,pH=6.5)中,25 ℃下振荡反应6 h。 最后,固体材料分别用PBS和去离子水洗涤3次,并在室温下真空干燥,得到葡萄糖淀粉酶固载化材料(3DOM SiO2-GLA)。 材料保存于4 ℃冰箱中。 酶固载量采用凯氏定氮法测定[21]。 样品在测定前先经100 ℃完全干燥,并由式(1)计算固载酶含量( CGLA)(%):

CGLA(%)=wN×6.25(1)

式中, wN为物质中含氮量(%),6.25为蛋白质换算系数。

1.4 酶活力测定

固载化酶的活力由酶催化水解淀粉溶液(10 g/L,pH=5 PBS)产生葡萄糖来测定。水解反应在温度为55 ℃,转速为150 r/min的恒温水浴中进行。 通过葡萄糖氧化酶法测定葡萄糖的含量[22]。 首先将20 mg GOD和10 mg POD溶解在500 mL PBS(50 mmol/L,pH=7.0)中制备得到GOD-POD酶溶液。 再将98 mg DEB溶解在500 mL PBS中制备得到显色剂溶液。 随后,将1 mL稀释一定倍数的水解产物,2.5 mL GOD-POD酶溶液和2.5 mL显色剂溶液混合于10 mL刻度试管中,并定容至10 mL。 室温下孵育40 min后,在434 nm处测定混合物的吸光度。 酶活力定义为1 g葡萄糖淀粉酶在标准测定条件下水解可溶性淀粉,每分钟释放1 μmol葡萄糖称为一个活力单位(U/g)。

1.4.1 pH值和温度对酶活力的影响

在40 ℃下,分别测定3DOM SiO2-GLA和游离酶在pH值4.0~8.0范围内的酶活力。 在pH=5的条件下,分别测定3DOM SiO2-GLA和游离酶在温度20~60 ℃ 范围内的酶活力。

1.4.2 重复使用稳定性和储藏稳定性

在55 ℃和pH=5.0下,先测定新鲜制得的3DOM SiO2-GLA催化水解淀粉溶液1 h的酶活力。 反应1 h后,3DOM SiO2-GLA用PBS润洗3次,重新装入淀粉溶液,再次反应后测定酶活性,如此考察重复使用数次。 并将固载酶和游离酶储藏在室温下,隔数天分别在55 ℃和pH=5.0下测定酶活力。

图1 羧基功能化SiO2@聚合物复合物制备及GLA固载化的反应示意图Fig.1 Schematic diagram for the preparation the polymer@SiO2 composites and GLA immobilization

2 结果与讨论
2.1 孔壁组成

在TEOS和MPTS的一系列水解和缩合反应(如图1所示)后,通过溶胶-凝胶转化在PS微球间隙内形成固体骨架,最后得到3DOM 巯基功能化氧化硅杂化材料[15]图2显示了3DOM SiO2-SH杂化物的Raman光谱。 在2575 cm-1处显示了强吸收峰,它是S—H的拉伸振动吸收,表明3DOM SiO2-SH材料中存在—SH。 巯基是可以通过迈克尔加成反应容易与烯基反应的活性基团,其广泛应用于聚合物和材料的合成和改性[23]。 在本工作中巯基在自由基介导条件下与AA和GDD中的乙烯基反应。 巯基的吸收峰在3DOM SiO2-COOH的拉曼光谱中几乎消失,表明巯基与聚合物前体反应完全。 此外,GDD是含有两个乙烯基的交联剂,因此,可以在大孔壁的表面上形成聚合物网络(图1)。 拉曼光谱中存在1735 cm-1吸收峰,它来源于C=O的伸缩振动吸收,表明了3DOM SiO2-COOH材料中聚合物的存在。

图2 3DOM SiO2-SH(a)和3DOM SiO2-COOH(b)材料的拉曼光谱图Fig.2 Raman spectra of 3DOM SiO2-SH(a) and 3DOM SiO2-COOH(b) materials

2.2 孔结构

图3A是3DOM SiO2-SH材料的SEM照片。 SEM观察清楚地表明材料具有规则均匀的大孔结构,孔壁均匀光滑。 从SEM照片测量的平均大孔直径约为(426±15) nm。 在图像中还可以清楚地看到下一层的孔道。 我们还可以在大孔中看到一些均匀的黑洞(133±10) nm,这些是连接相邻大孔间的孔窗,这对于大孔之间物质传递是至关重要的。

图3 3DOM SiO2-SH材料(A)和3DOM SiO2-COOH材料(B)扫描电子显微镜照片Fig.3 SEM images of 3DOM SiO2-SH materials(A) and 3DOM SiO2-COOH materials(B)

图3B是3DOM SiO2-COOH材料的SEM照片。 对比3DOM SiO2-SH材料孔道形貌,可见,3DOM SiO2-COOH材料仍然保留了有序的大孔结构。 但是,孔壁明显增厚,孔壁表面变得凹凸不平,且孔径和孔窗变小。 3DOM SiO2-COOH材料孔径约为(403±26) nm,孔窗尺寸约为(77±8) nm。 3DOM SiO2-COOH材料的BET比表面积约为13.4 m2/g,低于3DOM SiO2-SH材料(30.5 m2/g)。 这些结果表明,3DOM SiO2-COOH材料孔壁表面形成了一层致密的聚合物。 通过对比3DOM SiO2-SH和3DOM SiO2-COOH的孔径和孔窗尺寸,聚合物膜厚度为11~32 nm。 致密的聚合物层有效地提高了3DOM SiO2-COOH材料的机械强度,它能抵抗40 N的外力。 然而,3DOM SiO2-SH材料很脆弱,易碎,在5 N的外力下既已破碎。

2.3 酶固载化

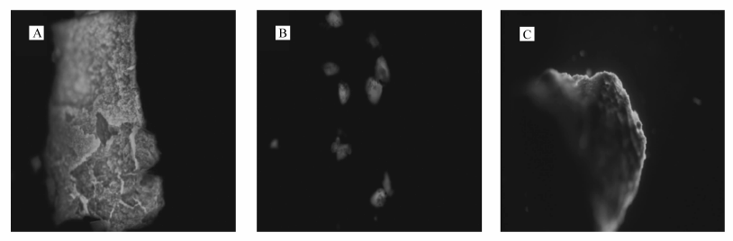
以羧基为官能基团,经亚胺试剂活化后,再与酶中的氨基反应形成共价酰胺键,是固载酶的一条经典策略。 反应示意图如图1所示。 应用荧光显微镜观察固载在3DOM SiO2-COOH材料上GLA的分布。 先用FITC标记GLA(FITC@GLA),再将FITC@GLA固载在3DOM SiO2-COOH材料上。图4所示是亚胺活化的3DOM SiO2-COOH材料(对照样品)和FITC@GLA固载3DOM SiO2-COOH材料的荧光显微照片。 从图4A和4B可以看出,FITC@GLA固载酶材料显示由荧光发射产生的绿色。 然而,对照样品显示黄色(图4C),由于对照样品用亚胺活化后与FITC反应,多次洗涤后,FITC被洗去,没有显示绿色荧光。 此外,大颗粒和由大颗粒碾碎而得的碎片粒子均呈现均匀的荧光现象,这表明固载酶在3DOM SiO2-COOH材料内部分布均匀。

图4 FITC标记GLA的3DOM SiO2-GLA材料表面(A)、粉碎大颗粒后的碎片(B)和对照品FITC标记(C)3DOM SiO2-COOH材料的荧光显微照片Fig.4 Fluorescence images of the FITC@GLA loaded 3DOM SiO2-COOH particle in a surface view(A), fragmental particles(B) and FITC@3DOM SiO2-COOH materials(C)

通过凯氏定氮法测定样品的氮含量,再经系数6.25校正推算得酶固载量约为17.3 mg/g。 数值6.25是由多数蛋白质中氮含量推算而来的校正系数。 酶固载量还采用TGA测定(图5),3DOM SiO2-COOH和酶固载材料失重率分别为75.3%、78.0%,由此推算得酶含量约为85.4 mg/g。

图5 3DOM SiO2-COOH和3DOM SiO2-GLA材料热重分析图Fig.5 TGA curves for 3DOM SiO2-COOH materials and 3DOM SiO2-GLA materials

2.4 固载化酶性质

2.4.1 固定化酶最适pH值和最适温度范围

图6所示。固载酶和游离酶最适宜的pH值均为5.0,随着pH值增大,酶活力逐渐降低,pH值为8.0时,酶活力均只有最高活力的5%。 但是固载酶在pH值4.0~6.0均保持较高的活力,表现出较好的pH耐受性。 温度对游离酶和固载酶活力的影响二者趋势基本相同(图7),固载酶和游离酶的最佳反应温度均为55 ℃。 但固载酶整条曲线几乎在游离酶之上,说明固载酶热稳定性较游离酶好。 固载酶热稳定性提高的原因是其能够抵抗热对酶空间构象的改变,因为维持特定空间构象是酶保持活性的必要条件[24]。 在pH值为5,温度为55 ℃条件下,固载酶和游离酶的米氏常数( Km)分别为3.78和3.97 g/L。 Km是反映酶与底物结合力的参数, Km越小,酶与底物亲和力越大[25],表明固载后,亲和力略有提高。 固载酶的亲和力一般会比游离酶低[26,27,28]。 但3DOM材料独特的孔道结构可以有效改善固载酶的亲和力。 Blanchard等[13]认为3DOM 结构类似于微反应器,可以增加酶与底物的接触频率,从而提高反应活性。 Jiang等[14]报道,青霉素酰化酶固载于3DOM材料上,其米氏常数与游离酶接近。 此外,孔壁表面的物理化学性质,也会影响固载酶的亲和力。 王峰等[29]等认为载体表面的亲水性聚合物长链能改善酶与载体的束缚形式,使载体上的酶有足够的自由空间发挥催化性能,从而提高固载酶的亲和力。 本研究采用丙烯酸和甘油1,3-二甘油醇酸二丙烯酸酯聚合生成的聚合物层,表面存在丰富的羟基和羧基。 因此,3DOM材料孔壁表面的高亲水性的聚合物链有利于提高固载酶的亲和力。

图6 pH值对游离酶和固载酶活力的影响Fig.6 Effect of pH value on the enzymatic activity of the free enzyme and immobilized enzyme(the maximum activity was taken to be 100%)

图7 温度对固载酶和游离酶活性的影响Fig.7 Effect of temperature on the enzymatic activity of free enzyme and immobilized enzyme(the maximum activity was taken to be 100%)

2.4.2 储藏稳定性和重复使用稳定性

在温度4 ℃下,游离酶和固载酶均比较稳定,储存1个月后,酶活力基本保持不变。 但是在室温下保存15 d后,游离酶活性损失达63.0%。 而固载酶几乎未失活(图8),说明该固定化酶具有良好的储藏稳定性。 与游离酶相比,固载酶能够方便地从反应体系中分离并重复使用。 对3DOM SiO2-GLA重复利用性考察表明,固载酶在使用过程中存在失活现象。 前5次使用的固载酶活力降低较大,而后降低速率趋于平缓,经过10次反应后,酶活力约为起始活力的 65.3%(图9)。 凯氏定氮法测定的酶含量随着反应次数增加而降低,酶活力降低百分率与酶含量降低率几乎一致(图9)。 因此,固载酶活力降低与酶流失有关。 我们认为解吸物理吸附的酶是造成酶流失的主要原因。 新鲜制得的固载酶即使经过缓冲溶液洗涤数次,仍然含有较多通过物理吸附的葡萄糖淀粉酶,这些物理吸附的酶在底物淀粉作用下被解吸下来,从而造成固载酶使用初期的酶失活较快。 未经亚胺试剂活化,直接通过物理吸附制备的固载酶,第3次使用酶活力即已下降36%,表明共价键合固载酶能较好地保留酶活力。 另外,固载酶的构象变化也可能是酶活力降低的原因之一。 实验结果表明,3DOM SiO2-GLA具有较好的重复使用性。

图8 游离酶和固载酶的储藏稳定性Fig.8 The storage stability of free and immobilized GLAs(the initial activity is normalized to be 100%)

图9 固载酶的重复使用稳定性与固载酶剩余百分率的关系Fig.9 The relationship between the stability and the amount of immobilized enzyme

3 结 论

以巯基为自由基引发基团,可以成功地在三维有序大孔(3DOM)材料孔壁表面嫁接一层功能化聚合物。 制备的3DOM SiO2-COOH材料能很好地保留有序相通的大孔结构,聚合物层厚度在纳米级尺度。 并且,它具有较高的机械强度。 3DOM SiO2-COOH材料可用作为固载葡萄糖淀粉酶的载体。 固载酶可均匀分布于3DOM SiO2-COOH材料内部,固载酶具有较好地热稳定性、pH值稳定性、储藏稳定性和重复使用性。

参考文献
[1] Ozdural A R, Tanyolac D, Boyaci I H, et al. Determination of Apparent Kinetic Parameters for Competitive Product Inhibition in Packed-Bed Immobilized Enzyme Reactors[J]. Biochem Eng J, 2003, 14(1): 27-36. [本文引用:1]
[2] Yamada R, Suzuki Y, Yasuda M, et al. Immobilization of Proteins on Synthetic Resins Using Super-critical Carbon Dioxide[J]. J Supercrit Fluids, 2016, 107: 566-570. [本文引用:1]
[3] Huttner S, Gomes M Z D V, Iancu L, et al. Immobilisation on Mesoporous Silica and Solvent Rinsing Improve the Transesterification Abilities of Feruloyl Esterases from Myceliophthora Thermophila[J]. Bioresour Technol, 2017, 239: 57-65. [本文引用:1]
[4] Vasconcellos A D, Paula A S, Filho R A L, et al. Synergistic Effect in the Catalytic Activity of Lipase Rhizomucor Miehei Immobilized on Zeolites for the Production of Biodiesel[J]. Micropor Mesopor Mater, 2012, 163: 343-355. [本文引用:1]
[5] Shahrestani H, Taheri-kafrani A, Soozanipour A, et al. Enzymatic Clarification of Fruit Juices Using Xylanase Immobilized on 1, 3, 5-Triazine-Functionalized Silica-Encapsulated Magnetic Nanoparticles[J]. Biochem Eng J, 2016, 109: 51-58. [本文引用:1]
[6] Velev O D, Jede T A, Lobo R F, et al. Porous Silica via Colloidal Crystallization[J]. Nature, 1997, 389(6650): 447-448. [本文引用:1]
[7] Pandya P H, Jasra R V, Newalkar B L, et al. Studies on the Activity and Stability of Immobilized Alpha-Amylase in Ordered Mesoporous Silicas[J]. Micropor Mesopor Mater, 2005, 77(1): 67-77. [本文引用:1]
[8] Yan W, Zheng X H, Min Z. Study of Immobilization of Laccase on Mesoporous Molecular Sieve MCM-41[J]. J Chem Eng Chinese Univ, 2008, 22(1): 83-87. [本文引用:1]
[9] Schroden R C, Al-daous M, Blanford C F, et al. Optical Properties of Inverse Opal Photonic Crystals[J]. Chem Mater, 2002, 14(8): 3305-3315. [本文引用:1]
[10] Yang J, Chen Z L, Wang H, et al. Highly Ordered Three-Dimensional TiO2@C Nanotube Arrays as Freestanding Electrode for Sodium-Ion Battery[J]. Mater Lett, 2017, 207: 149-152. [本文引用:1]
[11] Li X, Liu Y, Deng J, et al. Enhanced Catalytic Performance for Methane Combustion of 3DOM CoFe2O4 by Co-Loading MnO x and Pd-Pt Alloy Nanoparticles[J]. App Surf Sci, 2017, 403: 590-600. [本文引用:1]
[12] Ye P, Wan R B, Wang X P. Quantitative Enzyme Immobilization: Control of the Carboxyl Group Density on Support Surface[J]. J Mol Catal B: Enzym, 2009, 61(3/4): 296-302. [本文引用:1]
[13] Gornowich D B, Blanchard G J. Enhancement of Enzyme Activity by Confinement in an Inverse Opal Structure[J]. J Phys Chem C, 2012, 116(22): 12165-12171. [本文引用:2]
[14] Jiang Y, Wang Y, Wang H, et al. Facile Immobilization of Enzyme on Three Dimensionally Ordered Macroporous Silica via a Biomimetic Coating[J]. New J Chem, 2015, 39(2): 978-984. [本文引用:2]
[15] Wu Q, Liao J, Yin Q, et al. Synthesis, Characterization and Catalytic Activity of Ordered Macroporous Silicas Functionalized with Organosulfur Groups[J]. Mater Res Bull, 2008, 43(5): 1209-1217. [本文引用:3]
[16] Lowe A B. Thiol-Yne Click'/Coupling Chemistry and Recent Applications in Polymer and Materials Synthesis and Modification[J]. Polymer, 2014, 55(22): 5517-5549. [本文引用:1]
[17] Heggli M, Tirelli N, Zisch A, et al. Michael-Type Addition as a Tool for Surface functionalization[J]. Bioconjug Chem, 2003, 14(5): 967-973. [本文引用:1]
[18] Berkel K Y, Hawker C J. Tailored Composite Polymer-Metal Nanoparticles by Miniemulsion Polymerization and Thiol-ene Functionalization[J]. J Polym Sci Polym Chem, 2010, 48(7): 1594-1606. [本文引用:1]
[19] Reddy P S, Rani D J, Sulthana S. Amylases as a Tool for Industrial Application: A Review[J]. J Pure Appl Algebra, 2011, 5(1): 167-171. [本文引用:1]
[20] Amirbandeh M, Taheri-kafrani A. Immobilization of Glucoamylase on Triazine-Functionalized Fe3O4/Graphene Oxide Nanocomposite: Improved Stability and Reusability[J]. Int J Biol Macromol, 2016, 93: 1183-1191. [本文引用:1]
[21] Isobe N, Lee D S, Kwon Y J, et al. Immobilization of Protein on Cellulose Hydrogel[J]. Cellulose, 2011, 18(5): 1251-1256. [本文引用:1]
[22] YE Shuaiguan, SUN Zuoyu, DING Yi. The Coupled Reaction of Glucose Oxidase-Per-Oxidase- o-Diansidine System for Determination of Blood-Glucose and Some Inhibitors[J]. Chem Reagent, 1986, 8(5): 306-309(in Chinese).
叶率官, 孙佐宇, 丁益. 以葡萄糖氧化酶-过氧化物酶-邻联二茴香胺偶联反应动力学方法(比色)测定血中葡萄糖及某些抑制剂[J]. 化学试剂, 1986, 8(5): 306-309. [本文引用:1]
[23] Nair D P, Podgorski M, Chatani S, et al. The Thiol-Michael Addition Click Reaction: A Powerful and Widely Used Tool in Materials Chemistry[J]. Chem Mater, 2014, 26(1): 724-744. [本文引用:1]
[24] Gomez J L, Bodalo A, Gomez E, et al. Immobilization of Peroxidases on Glass Beads: An Improved Alternative for Phenol Removal[J]. Enzyme Microb Technol, 2006, 39(5): 1016-1022. [本文引用:1]
[25] GUO Ming, YAN Bingyu, WANG Chunpeng, et al. Preparation of Cellulose-Based Immobilized Enzyme Matrix and the Exploration of Immobilized Laccase Performance[J]. Sci Silvae Sin, 2013, 49(11): 122-128(in Chinese).
郭明, 燕冰宇, 王春鹏. 纤维素基质固载酶材料制备及固定化漆酶性能[J]. 林业科学, 2013, 49(11): 122-128. [本文引用:1]
[26] Volokitina M V, Korzhikov-Vlakh V A, Tennikova T B, et al. Macroporous Monoliths for Biodegradation Study of Polymer Particles Considered as Drug Delivery Systems[J]. J Pharm Biomed Anal, 2017, 145: 169-177. [本文引用:1]
[27] Gashtasbi F, Ahmadian G, Noghabi K A. New Insights into the Effectiveness of Alpha-Amylase Enzyme Presentation on the Bacillus Subtilis Spore Surface by Adsorption and Covalent Immobilization[J]. Enzyme Microb Technol, 2014, 64/65: 17-23. [本文引用:1]
[28] Gupta K, Jana A K, Kumar S, et al. Solid State Fermentation with Recovery of Amyloglucosidase from Extract by Direct Immobilization in Cross Linked Enzyme Aggregate for Starch Hydrolysis[J]. Biocatal Agric Biotechnol, 2015, 4(4): 486-492. [本文引用:1]
[29] WANG Feng, LIANG Liman, GU Zhengbiao, et al. Immobilization of Amylase on PS-TEPA and PS-PEG Resins[J]. Chinese J Appl Chem, 2008, 25(11): 1259-1265(in Chinese).
王峰. 梁力曼, 顾正彪, . PS-TEPA和PS- g-PEG树脂固载淀粉酶[J]. 应用化学, 2008, 25(11): 1259-1265. [本文引用:1]